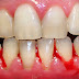
Chảy máu chân răng là một trong những bệnh lý răng miệng hay gặp phải hàng ngày. Mặc dù không phải là bệnh nguy hiểm nhưng nếu không được cứu chữa kịp thời sẽ ảnh hưởng rất lớn đến sức khỏe răng miệng của chúng ta.
Chảy máu chân răng do đâu?
Không phải tự nhiên mà bạn bị chảy máu chân răng mà đó có thể là dấu hiệu cho thấy bạn đang mắc phải một bệnh lý răng miệng hay là sức khỏe của bạn đang gặp phải vấn đề.
Các bác sĩ nha khoa sẽ có những lời giải thích đúng về vấn đề này. Chảy máu chân răng là biểu hiện của bệnh lý răng miệng. Phương pháp niềng răng tháo lắp là gì? Khi đánh răng, ăn nhai bình thường mà răng bị chảy máu, thì có thể bạn đã mắc phải bệnh lý về răng miệng.
Viêm lợi, viêm nha chu là một trong những bệnh lý gây chảy máu chân răng. Nếu bạn thường xuyên chảy máu chân răng, có thể lợi của bạn đã bị viêm. Một khi lợi bị viêm sẽ có màu đỏ đậm, mềm và rất nhạy cảm, thường có mùi khó chịu, dễ bị chảy máu.

Đôi khi chúng ta còn cảm thấy ngứa căng lợi răng. Nếu kéo dài tình trạng này, lợi sẽ bị tụt xuống làm chân răng lộ ra ngoài rất xấu và gây rụng răng. Các bác sĩ khuyên bạn nên vệ sinh răng miệng đúng cách và lấy cao răng định kì từ 3 - 6 tháng một lần.
Ngoài ra, còn có một số nguyên nhân khác như chải răng không đúng cách, dùng bàn chải quá to, quá cứng, chải quá mạnh sẽ làm nướu bị tổn thương và chảy máu,, dùng tăm xỉa răng cũng có thể gây chảy máu răng.
Thiếu vitamin và canxi cũng là nguyên nhân khiến bạn bị chảy máu chân răng. Chính vì vậy thức ăn hằng ngày cần bổ sung canxi và vitamin trong các loại rau củ quả.
Một trong những căn bệnh thế kỷ là ung thư cũng có biểu hiện là chảy máu chân răng. Nếu khi bạn chảy máu chân răng, cần đến ngày các trung tâm nha khoa để kịp thời điều trị.
Chảy máu chân răng có sao không? Điều trị thế nào?
Chảy máu chân răng có sao không? Câu trả lời là có, vì có thể bạn có thể đã mắc phải những bệnh lý răng miệng nguy hiểm và nếu không được điều trị kịp thời thì chúng sẽ ảnh hưởng đến sức khỏe của bạn.
Tùy vào từng trường hợp, tùy vào từng bệnh mà bác sĩ sẽ có những phương phương pháp điều trị phù hợp và hiệu quả.
Chảy máu do viêm lợi, viêm nướu thì bác sĩ sẽ tiến hành lấy cao răng, vì cao răng là nguyên nhân chính khiến lợi và nướu bị sưng, các mô này bị tổn thương và dễ chảy máu khi kích động nhẹ.
Đối với những trường hợp nặng, sau khi lấy cao răng, bác sĩ sẽ kê đơn thuốc kháng sinh, chỉ cần bạn uống thuốc vài ngày và vệ sinh răng miệng đúng cách thì tình trạng chảy máu chân răng sẽ khoomh còn nữa.
Dù là chảy máu chân răng do nguyên nhân nào cũng đều rất nguy hiểm, bởi chúng có thể là biểu hiện của các căn bệnh nguy hiểm mà chúng ta không hề biết. Sẽ không mất quá nhiều thời gian nên bạn hãy sắp xếp đến cơ sở nha khoa càng sớm càng tốt để các bác sĩ có thể phát hiện bệnh và điều trị sớm nhất có thể.
Bài viết được trích nguồn từ: https://taytrangranglaserwhitening.blogspot.com
Thông tin liên hệ:
Trung tâm nha khoa Đăng Lưu
Địa chỉ:
Cơ sở 1: 34 Phan Đăng Lưu, P.6, Q.Bình Thạnh –(+84 8) 6297 7148
Cơ sở 2: 540 Trần Hưng Đạo, P.2, Q.5 –(+84 8) 6682 0346
Hotline: (+84 8) 66820346
Ngavvt